Eagle Edge 3D
Dabi Atlante • Línea Premium

Eagle Edge 3D.
Diagnóstico Total.

Más que un tomógrafo, una plataforma integral. Diseñado para cubrir todas las especialidades: Implantología, Endodoncia, Cirugía Maxilofacial, Ortodoncia y ATM.

Algoritmos de Procesamiento Avanzado:

  • MAR (Metal Artifact Reduction): Elimina destellos de amalgamas e implantes, permitiendo ver hueso periimplantario con claridad.
  • PMC (Patient Motion Correction): Corrige automáticamente micro-movimientos del paciente, evitando la repetición de tomas.

Especificaciones de Alto Rendimiento

Resolución Voxel Variable (75µm)

Adapta la calidad a la necesidad clínica. Usa 75 micras (UHD) para visualizar conductos accesorios.

FOV Flexibles

Desde 5x5 cm hasta 12x9 cm. El colimador automático ajusta el haz.

Software Eagle Eye (All-in-One)

Una suite completa sin costos ocultos.

  • Vista de Acceso al software Eagle Eye.

  • Vista de Bienvenida.

  • Vista de Datos del Paciente.

  • Vista Pano Estandar.

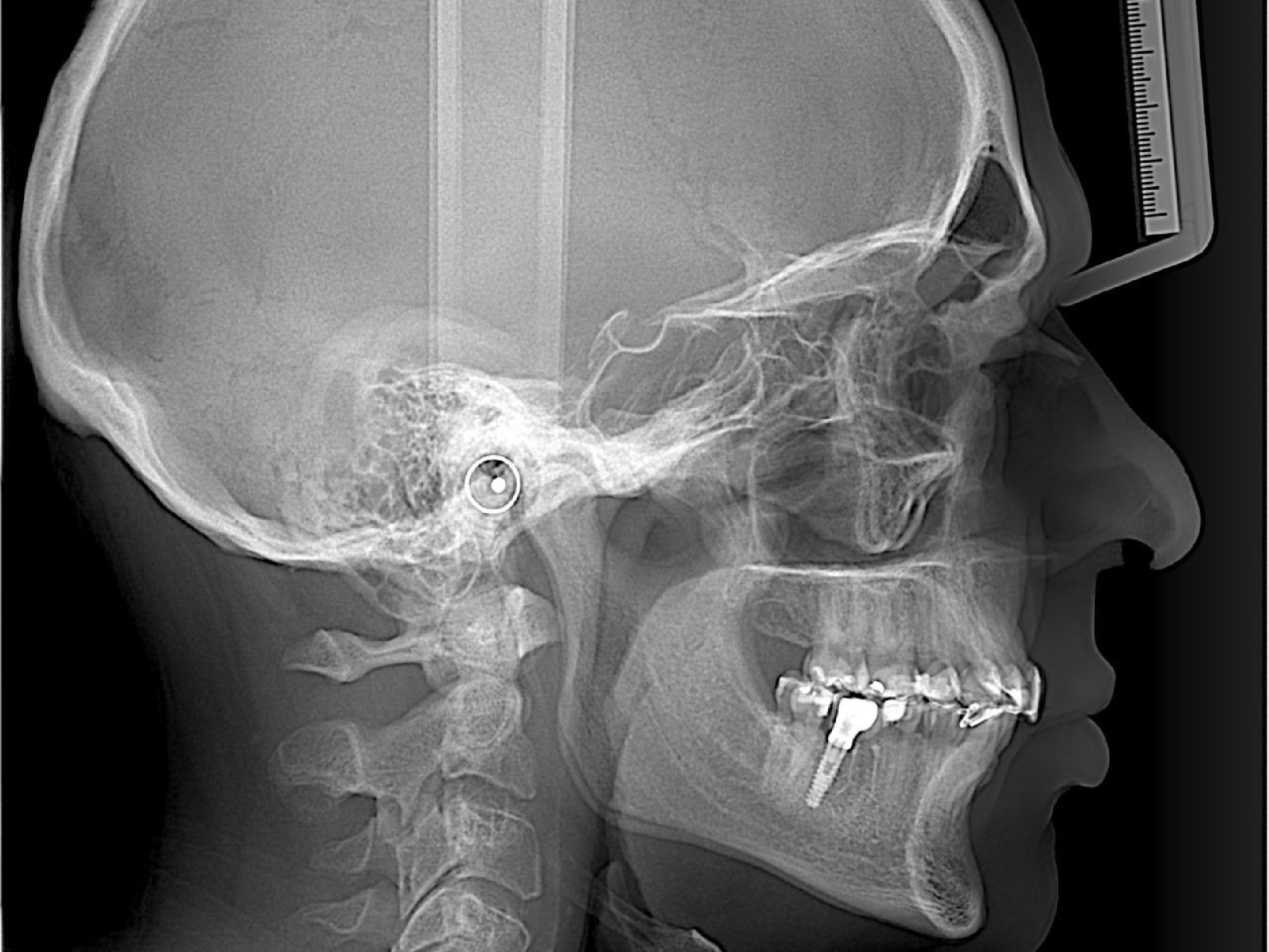
  • Vista de Cefalometria Lateral.

  • Vista 3D (Paciente).

Tecnología en Movimiento

Descubre la potencia del Eagle 3D en acción.

Ortodoncia Digital Avanzada

Eagle Edge Pan/Ceph

La solución 2D definitiva. Equipada con Dos Sensores Dedicados para evitar el riesgo de caída al intercambiarlos.

Tecnología Fast Scan: Panorámicas en tiempo récord.

Enfoque Multislice: Rescata imágenes movidas.

Cotizar Equipo
Eagle Ceph

41

Cortes Multislice

0.5s

Disparo Ceph

Diagnóstico sin Errores

  • Multislice Panorámico Captura 41 capas focales en una sola toma.
  • Smart Contrast Filtros IA automáticos.
  • Trazado Automático Identifica puntos en segundos.

Galería de Videos Pan/Ceph

Conoce el flujo de trabajo digital.

Resultados Clínicos Reales

Tomografía ATM
Trazado Cefalométrico
Panorámica HD